Sr. Editor:
Las fracturas por avulsión de las diferentes apófisis de la pelvis y del extremo proximal del fémur constituyen un tipo de patología poco frecuente, y la mayoría de los trabajos publicados se refieren a casos aislados1-3. En general, los pacientes son vistos tardíamente ya que estas lesiones suelen acompañarse de una escasa y /o inespecífica sintomatología. Por ello, no es raro que las imágenes radiográficas observadas cierto tiempo después del traumatismo sean interpretadas como exostosis, miositis osificante e incluso como lesiones tumorales óseas.
Las avulsiones traumáticas de la tuberosidad isquiática son las más frecuentes de las localizadas en la pelvis y a veces pasan inadvertidas por la escasa sintomatología que la acompaña4. Por ello, no es raro que las imágenes radiográficas observadas cierto tiempo después del traumatismo sean interpretadas como exostosis, miositis osificante e incluso como lesiones tumorales óseas, lo que provoca exploraciones y procedimientos quirúrgicos complementarios no exentos de complicaciones5-7.
CASO CLINICO:
Recientemente hemos visto el caso de un paciente de 42 años de edad, con antecedente de haber sufrido accidente automovilístico 20 años atrás, que acude por presentar dolor en región isquioglútea izquierda que se intensifica con actividades como carreras, saltos, subir escaleras y largas caminatas y que se ha ido incrementando paulatinamente causándole molestias para sentarse y tener relaciones sexuales.
Fue visto en varias consultas de su área de salud donde se le diagnosticó una masa tumoral ósea pélvica que se proyectaba sobre la región isquiática izquierda. Con el diagnóstico de una posible miositis osificante se le prescribieron varios tratamientos con indometacina y fisioterapia, a pesar de lo cual se mantuvo la misma sintomatología. Por tal motivo fue remitido a nuestro centro donde se decidió su ingreso para estudio y tratamiento.
Al examen físico se constata una masa tumoral sobre la tuberosidad isquiática izquierda, de consistencia dura, no movible, dolorosa a la palpación, que le causa limitación dolorosa de los movimientos de flexión y extensión de la cadera.
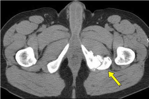
Se le solicitan estudios de laboratorio como hemograma, eritrosedimentación, fosfatasa alcalina, fosfastasa ácida, calcio sérico, fósforo, etc... Los resultados están dentro de los límites normales. Se le realiza una tomografía computerizada: En los cortes axiales se observa una imagen de densidad ósea que se proyecta por debajo y lateralmente al isquion, pero independiente de este, con su centro radiotransparente y sus bordes irregulares (Figura 1). Se observa que la imagen de apariencia tumoral se mantiene separada del isquion (Figura 2).
Figura 1: cortes axiales

Figura 2: Centro de la lesión e imagen tumoral " separada" del isquion.
Los cortes sagital y coronal de la lesión, así como la recostrucción topográfica se muestran a continuación (Figuras 3-6).

Figuras 3: Corte sagital de la lesión.

Figuras 4: Corte coronal de la lesión.

Figura 5: Reconstrucción topográfica. Vista anterior.

Figura 6: Reconstrucción topográfica. Vista Posterior.
Tras finalizar el estudio se descartó que fuese una lesión tumoral y se plantearon dos diagnósticos: una avulsión de la tuberosidad isquiática, la cual había evolucionado formando una masa ósea que se encontraba independiente del isquion, o una miositis osificante de la inserción de los músculos isquiotibiales.
Debido a que el paciente había llevado numerosos tratamientos médicos y rehabilitadores sin mejoría alguna, se decidió su intervención quirúrgica realizando un abordaje de Radley modificado con resección de toda la masa ósea. El resultado anatomopatológico informó que se trataba de tejido óseo normal, sin alteraciones histológicas, descartándose, por tanto, la miositis osificante al no estar presente el patrón por zona que es característico de esta enfermedad.
Tras la intervención quedó una fístula en la zona del drenaje que se cerró espontáneamente con posterioridad. Con rehabilitación, el paciente evolucionó satisfactoriamente.
DISCUSION
La falta de un diagnóstico inicial obliga a plantear el diagnóstico diferencial con un tumor óseo (encondroma, osteocondroma, condrosarcoma). La imagen que se presenta en una avulsión traumática de la apófisis es de una tumoración irregular fusiforme, de tamaño variable, en íntimo contacto con el hueso y que muestra una cortical intacta, mientras que los sarcomas se extienden del centro a la periferia y a veces interrumpen dicha cortical.
Las avulsiones traumáticas de las apófisis de la pelvis y del extremo proximal del fémur se deben a una fuerte contractura de los músculos que en ellas se insertan después de actividades deportivas o como consecuencia de movimientos bruscos incoordinados. Por ello, no es raro que este tipo de lesiones incida más en varones.
El diagnóstico definitivo se realiza mediante la exploración radiológica. Es necesario obtener imágenes de gran calidad de toda la pelvis. Así mismo, las proyecciones axiales y oblicuas deben ser de ambas caderas para hacer un estudio comparativo. El tratamiento de estas avulsiones es principalmente conservador y sólo serán intervenidos quirúrgicamente aquellos casos que requieran mejorar la sintomatología dolorosa o irritativa8.
REFERENCIAS
1. Dosani A, Giannoudis PV, Waseem M, Hinsche A, Smith RM. Unusual presentation of sciatica in a 14-year-old girl. Injury. 2004;35:1071-1072
2. Salvi AE, Metelli GP, Corona M, Donini MT. Spontaneous healing of an avulsed ischial tuberosity in a young football player. A case report. Acta Orthop Belg. 2006;72:223-225.
3. Kaneyama S, Yoshida K, Matsushima S, Wakami T, Tsunoda M, Doita M. A surgical approach for an avulsion fracture of the ischial tuberosity: a case report. J Orthop Trauma. 2006;20:363-365.
4. Gidwani S, Jagiello J, Bircher M. Avulsion fracture of the ischial tuberosity in adolescents--an easily missed diagnosis. BMJ. 2004;329:99-100.
5. Proubasta Renart I, Ardila Cuervo C, Delgado López F, Perafán Campo P. Avulsiones traumáticas de la pelvis y del extremo proximal del fémur. Rev Colomb Ortop Traumatol. 1988; Disponible en: URL: http://www.encolombia.com/ortopedia2288avulsiones.htm [29/02/2008]
6. Proubasta RI, Roig Vancells M, Mata J, Palacio A. Epifisiolisis traumática del isquión. Barcelona - Quirúrgica 1985; 28: 40-44.
7. Barnes S.T., Hinds R.B.: Pseudotumor of the ischium, a late manifestation of avulsion of the ischial epiphysis. J Bone Joint Surg. 1972; 54a: 645-647.
8. Shlonsky J., Olix M.L.: Functional disability following avulsion fracture of the ischial epiphysis. J Bone Joint Surg 1972; 54A: 641-643.
Correspondencia:
Dr. Alfredo Martín Acosta Inguanzo1,
Ortopedia y Traumatología. Cortina 504½ apto 8. 10 de Octubre. Ciudad Habana. Cuba. CP 10500
alfredoacos @ infomed.sld.cu
Recibido 19 de mayo de 2007.
Publicado 3 de marzo de 2007