ISSN: 1697-090X

Inicio Home

Indice del volumen Volume index

Comité Editorial Editorial Board

Comité Científico Scientific Committee

Normas para los autores Instruction to Authors


Derechos de autor Copyright

Contacto/Contact:


    RAQUITISMO CARENCIAL: UNA ENTIDAD PRESENTE EN CONSULTAS DE ATENCIÓN PRIMARIA.

    Elena Martínez Cuevas MD. PhD.1, Sara Martínez Díaz MD.1, Asunción Gil Gutiérrez DUE.2,
    María del Mar de la Hera Díez DUE.2

    1Pediatría, 2 Enfermería pediátrica.
    Centro de Salud de Atención Primaria "Gamonal Antigua",
    Burgos. España.

    Email: elena.martinezcuevas @ gmail.com

    Rev Electron Biomed / Electron J Biomed 2023;2:31-34.



    RESUMEN

    El raquitismo, conocido históricamente como "la enfermedad inglesa"1, es la enfermedad más común del hueso en crecimiento.

    La ausencia de fosfato en la placa de crecimiento y en las superficies óseas mineralizadas, debido a un aporte inadecuado de vitamina D o de calcio, ya sea por falta de exposición a la luz solar o por la dieta, es la causa principal y provoca unos huesos blandos, deformados y con retraso en su desarrollo.

    El raquitismo continúa siendo un problema de salud entre los niños, especialmente entre lactantes de piel oscura que viven en zonas templadas, en los bebés y sus madres en Oriente Medio y en los niños de países en desarrollo1-3.

    PALABRAS CLAVE: Raquitismo, déficit de vitamina D.



    ABSTRACT

    Rickets, historically referred to as 'The English disease', is the most common bone growth illness.

    Absence of phosphate at the growth plate and mineralising bone surfaces, due to inadequate vitamina D or calcium supply either from sunlight exposure or diet is the main cause. This results in soft, deformed and stunted growth bones.

    Rickets continues to be a significant health problem for children worldwide, but those most affected are dark-skinned infants living in temperate zones, babies and their mothers dwelling in the Middle East and children residing in developing countries1-3.

    KEY WORDS: Rickets, vitamin D deficiency.




    INTRODUCCIÓN

    El raquitismo es una de las enfermedades infantiles no infecciosas más frecuentes en los países en vías de desarrollo. Los movimientos migratorios favorecen la presencia de ciertas patologías que en nuestro medio se consideraban erradicadas.

    Desde las consultas de Pediatría de Atención Primaria nuestro objetivo es la concienciación en la prevención y promoción de la salud, así como la detección precoz de los signos de alarma en el crecimiento de los niños, por este motivo surgieron los programas de Salud Infantil del "Niño Sano".



    CASO CLÍNICO

    Niña de 19 meses, con embarazo materno y parto normal, con pruebas metabólicas neonatales normales y tercera hija de una familia de Oriente Medio con nacimiento en España. A los 3 meses de vida de la niña, la familia regresa a su país permaneciendo 16 meses y, posteriormente retornan a España.

    Acude al Centro de Salud con 19 meses para completar la pauta del calendario vacunal y seguir las revisiones del programa de Salud Infantil del "Niño Sano "acorde al protocolo de la Comunidad Autónoma. En esta primera valoración se objetivó en la exploración física un arqueamiento de extremidades inferiores muy llamativo, por lo que se realizó un examen físico completo observando además unos dientes grisáceos hiperpigmentados y un posible arqueamiento de extremidades superiores; no tenía craneotabes ni deformidades torácicas pero cumplía con parámetros de fallo de medro por peso y talla. Durante los meses de estancia en su país la niña no había recibido suplementación con la dosis de vitamina D oral recomendada en las primeras consultas de Pediatría.

    Se completó el estudio con una analítica sanguínea, objetivando datos claros de raquitismo carencial (Tabla 1).



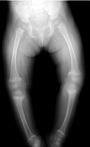
    En la radiografía de extremidades se describía un ensanchamiento de las metáfisis femorales y tibiales con pérdida de nitidez y aspecto "desflecado" compatible con raquitismo (Figura 1).


    Con diagnóstico de Raquitismo carencial se administró como tratamiento inicial vitamina D a dosis de 4.000 UI / diarias vía oral. En el control radiográfico posterior a los 4 meses de iniciado el tratamiento se apreció mejoría de las alteraciones óseas, así como una resolución de las alteraciones del metabolismo del calcio y fósforo.



    DISCUSIÓN

    El raquitismo puede manifestarse tras una deficiencia aislada de calcio o vitamina D o tras una deficiencia o insuficiencia combinada. La deficiencia de calcio predomina en niños de África y Asia y se atribuye primordialmente a la dieta pobre en calcio y a la desnutrición. El raquitismo por deficiencia de vitamina D está relacionado con la falta de luz solar y con programas ineficaces de suplementación de vitamina D2-4.

    El déficit de vitamina D conlleva una disminución de la absorción intestinal de calcio pudiendo llegar hasta el 80%. Para mantener la calcemia el organismo responde con un aumento secundario de la hormona paratiroidea (PTH). La PTH además de aumentar los niveles de calcio, aumenta las pérdidas renales de fosfatos y la reabsorción ósea; este proceso altera la mineralización ósea y genera el raquitismo.

    El raquitismo en este caso podría considerarse la punta del iceberg de la hipovitaminosis D mantenida en el tiempo, desconociéndose el dintel en el que se produce la enfermedad.

    En los países desarrollados el raquitismo no es una enfermedad frecuente sin embargo, la forma de vida actual sí que conlleva a que los niños tengan unos niveles bajos de vitamina D. Por ejemplo, un estudio realizado en Dinamarca, describe que en niños de etnia danesa la incidencia promedio en el grupo de edad de 0 a 2,9 años disminuyó de 5,0 a 2,0 por 100.000 por año durante 1985-1994 a 1995-20055.

    En países en vías de desarrollo todavía es una entidad muy frecuente, aunque los datos exactos sobre incidencia y prevalencia se ven sesgados por la falta de consenso sobre una cifra de corte para definir deficiencia de vitamina D junto con la confusión sobre la diferencia entre la deficiencia de vitamina D y el raquitismo. No obstante, se describen cifras de raquitismo de hasta el 70% de los niños en Mongolia y de 42% en los niños de Etiopia1.

    Hay dos vías por las que un niño está en riesgo de sufrir un raquitismo, que son o por deficiencia de vitamina D o por deficiencia de calcio en la dieta.

    Los niños con más riesgo de déficit de vitamina D son: los menores de un año, hijos de madres con déficit de vitamina D durante el embarazo, niños con la piel oscura, nacidos con bajo peso y prematuros, alimentación con leche materna exclusiva sin suplemento vitamínico o con menos de un litro diario de leche artificial sin suplemento, vivir en latitudes alejadas más de 40° al norte o sur del ecuador o en áreas con contaminación ambiental.

    Respecto a los niños con riesgo de déficit de calcio serían principalmente los que tienen una restricción de lácteos, alergias alimentarias, intolerancia a la lactosa y desnutrición y malabsorción2.

    El caso clínico expuesto cumplía con varios factores de riesgo.

    El raquitismo se caracteriza principalmente por deformidades óseas y retraso del crecimiento ya que es un trastorno de la mineralización del hueso y del cartílago de crecimiento. Esto conlleva unos hallazgos característicos en la exploración física de estos niños como: incurvaciones de los huesos largos, deformidades torácicas como el rosario costal, deformidades pélvicas, ensanchamiento de muñecas y rodillas, craneotabes, fontanela grande y con cierre tardío, daños en el esmalte dentario o hipotonía muscular, como los más representativos.

    El diagnóstico de esta entidad se basa en una exploración compatible junto a alteraciones analíticas y radiográficas. Las principales alteraciones del metabolismo fosfocálcico son: hipofosfatemia junto a un grado variable de hipocalcemia, aumento de la fosfatasa alcalina y aumento de la hormona paratiroidea (PTH).

    Hay que tener en cuenta que mientras la cifra de 25-OH vitamina D es un buen marcador del estado de la vitamina D en el cuerpo, no ocurre lo mismo con el calcio sérico que es un pobre marcador del estado del mismo en el organismo 2-4.

    La primera opción de tratamiento del raquitismo por déficit de vitamina D consiste en calciferol oral y la respuesta al tratamiento confirmará el diagnóstico; se trata de un diagnóstico "ex juvantibus". Este hecho es especialmente importante pues se han descrito "raquitismos resistentes" al tratamiento con vitamina D que tienen una base genética.

    Este caso clínico muestra la importancia de detectar la deficiencia de vitamina D que puede sospecharse por el lugar de residencia del niño, la no suplementación de vitamina D en el primer año de vida, el tipo de piel del caso índice y por la cultura de la familia. Cuando se diagnostica es recomendable el cribado de los demás niños del hogar y de cualquier adulto sintomático, en especial de la madre del niño con dicha patología2.

    Finalmente, hay que incidir en que la prevención es la clave para evitar el desarrollo de un raquitismo basándose en una adecuada exposición solar junto a una ingesta apropiada de vitamina D y calcio. Desde la consulta de Atención Primaria de Pediatría debe informarse a las familias de estas medidas preventivas.


    REFERENCIAS

      1. Elder CJ, Bishop NJ. Rickets. Lancet. 2014; 383(9929): 1665-1676.

      2. Uday S, Högler W. Nutritional rickets & osteomalacia: A practical approach to management. Indian J Med Res. 2020; 152(4): 356-367.

      3. Unuvar T, Buyukgebiz A. Nutritional rickets and vitamin D deficiency in infants, children and adolescents. Pediatr Endocrinol Rev. 2010; 7(3): 283-291.

      4. Wagner CL, Greer FR; American Academy of Pediatrics Section on Breastfeeding; American Academy of Pediatrics Committee on Nutrition. Prevention of rickets and vitamin D deficiency in infants, children, and adolescents. Pediatrics. 2008; 122(5): 1142-1152. Erratum in: Pediatrics. 2009; 123(1): 197.

      5. Beck-Nielsen SS, Brock-Jacobsen B, Gram J, Brixen K, Jensen TK. Incidence and prevalence of nutritional and hereditary rickets in southern Denmark. Eur J Endocrinol 2009; 160: 491-497.



    CORRESPONDENCIA:
    Dra. Elena Martínez Cuevas
    Centro de Salud de Atención Primaria "Gamonal Antigua",
    Avenida Derechos Humanos, Nº 1
    09007, Burgos, España.
    Email: elena.martinezcuevas @ gmail.com